白い歯で第一印象アップ!オフィスホワイトニングの魅力
2025年10月24日
こんにちは!
渋谷区 恵比寿の歯医者、恵比寿 I’s 歯科・歯科矯正です。
みなさんは「第一印象は数秒で決まる」と言われているのをご存じですか?
その中でも「歯の白さ」は清潔感や若々しさを大きく左右する大切なポイントです!
最近はマスクを外す機会も増え、「笑った時の歯の色が気になる…」という方からホワイトニングのお問い合わせをいただくことが多くなりました。
オフィスホワイトニングとは?
歯科医院で専用の薬剤とライトを使用して行うホワイトニングです。
ご自宅で行う「ホームホワイトニング」と比べて 短期間で効果を実感しやすい のが特徴です。
•1回の施術でもトーンアップを実感しやすい
•プロの管理のもと行うため安全性が高い
•結婚式やイベント前など「すぐに白くしたい!」という方におすすめ
どんな方におすすめ?
•人前に出るお仕事をされている方
•結婚式や写真撮影を控えている方
•喫煙やコーヒー・赤ワインなどで着色が気になる方
•「ホームケアでは限界を感じる…」という方
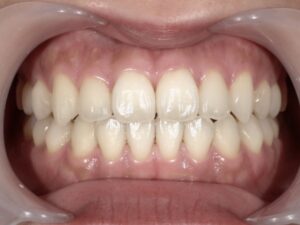
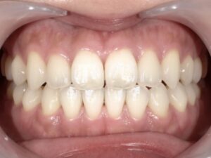
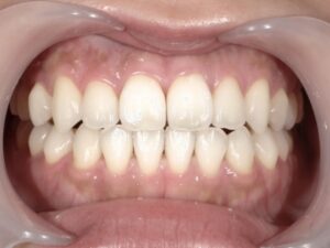
実際の症例 Before & After

施術前

施術後(1回のオフィスホワイトニング後)

施術後(3回のオフィスホワイトニング後)
※効果には個人差があります
効果を長持ちさせるためには…
ホワイトニングは一度で終わりではなく、白さをキープするためのメンテナンスも大切です。
•定期的なクリーニング
•着色しやすい飲食物のコントロール
•必要に応じてホームホワイトニングとの併用
これらを組み合わせることで、理想的な白さを長く維持することができます。
まとめ
オフィスホワイトニングは、短時間で効果を実感できる人気の施術です。
「もっと自分に自信を持ちたい」「笑顔を輝かせたい」と思っている方にぜひ体験していただきたいメニューです。
当院でもカウンセリングを行っていますので、興味のある方はお気軽にご相談ください。
あなたの笑顔がより一層ステキに輝くお手伝いをいたします。
\ブログを見てくださっている方で平日15:15まで限定!/
ホワイトニング特別メニュー ¥9,500(税込)
現在当院では、平日15:15までにご来院いただける方限定で、ホワイトニングを特別価格 ¥9,500(税込) にてご提供中です!
(種類はハイブリッドポリリンホワイトニングのみになります。)
気になっていた方は、このお得な機会にぜひお試しください。
ご予約・お問い合わせはお電話またはWEB予約にて受け付けております。
※ご予約時またはご来院の際に受付にて「ブログ見ました!」とお声かけいただいた方限定になります。
──────────────────────────────────────────────────
恵比寿・代官山エリアで歯医者をお探しなら、医療法人社団 新心会の恵比寿 I’s 歯科・矯正歯科へ
一般歯科、歯科口腔外科、矯正歯科、小児歯科、マウスピース矯正、ホワイトニング、インプラント、セラミック審美治療など何でも承ります。
医療法人社団 新心会
恵比寿 I’s 歯科・矯正歯科
〒150-0021
東京都渋谷区恵比寿西1-10-10若葉西ビル3階
TEL:03-6277-5056
URL:https://www.ebisudc.com/
──────────────────────────────────────────────────




