5歳 反対の噛み合わせを改善したい CASE#2
2025年10月15日
こんにちは!
渋谷区 恵比寿の歯科医院、恵比寿 I’s 歯科・歯科矯正の歯科医師の白石です。
当院では子どもの頃から取り組める歯並び治療を行っています。
どんな内容の治療を行っているのか
当院の別サイト https://ebisuisdc.com/ にて、小児矯正についてもご案内しています✨
症例をご紹介したInstagramアカウントもありますのでぜひチェックしてみてください♪
【eodc_kids_ortho】
https://www.instagram.com/edoc_kids_ortho/?igsh=MWVzMHcwanN3dzd2Zg%3D%3D&utm_source=qr#
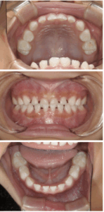
【 Before 】

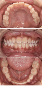
【 After 】

〈 年齢・性別 〉 5歳 女児
〈 主訴・相談内容 〉 反対の噛み合わせを改善したい
〈 診断名 〉 前歯部反対咬合
〈 装置 〉 プレオルソタイプ3
〈 抜歯部位 〉 非抜歯
〈 治療期間 〉 1年で改善、その後経過観察(3年間)
〈 治療費 〉 110,000円 (税別・精密検査代別)
〈 治療のリスク 〉 治療後の後戻り
✴︎前勤務先クリニック 医療法人 星樹会 はち歯科医院での症例
──────────────────────────────────────────────────
恵比寿・代官山エリアで歯医者をお探しなら、医療法人社団 新心会の恵比寿 I’s 歯科・矯正歯科へ
一般歯科、歯科口腔外科、矯正歯科、小児歯科、マウスピース矯正、ホワイトニング、インプラント、セラミック審美治療など何でも承ります。
医療法人社団 新心会
恵比寿 I’s 歯科・矯正歯科
〒150-0021
東京都渋谷区恵比寿西1-10-10若葉西ビル3階
TEL:03-6277-5056
URL:http://www.ebisudc.com/
──────────────────────────────────────────────────




