14歳 下の歯がもっと見えるようになりたい CASE #3
2025年11月24日
こんにちは!
渋谷区 恵比寿の歯科医院、恵比寿 I’s 歯科・歯科矯正の歯科医師の白石です。
当院では子どもの頃から取り組める歯並び治療を行っています。
どんな内容の治療を行っているのか
当院の別サイト https://ebisuisdc.com/ にて、小児矯正についてもご案内しています✨
症例をご紹介したInstagramアカウントもありますのでぜひチェックしてみてください♪
【eodc_kids_ortho】
https://www.instagram.com/edoc_kids_ortho/?igsh=MWVzMHcwanN3dzd2Zg%3D%3D&utm_source=qr#
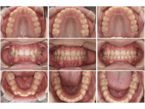
今回は少しお兄さんになったお子さんの治療のご紹介です。
噛み合わせが深いことを気にされてご相談に来られました。
通常14歳の年齢ではワイヤーの矯正治療か、インビザラインのようなマウスピース型の矯正治療を選択しますが
Myobrace®︎が適応になると判断した症例です。
7番目の歯が全て生えたら再度矯正治療を行うか再度ご相談予定です。

【 治療前 】 【 6ヶ月後 】 【 1.5 年後 】
〈 年齢・性別 〉 14 歳 男児
〈 主訴・相談内容 〉 下の歯をもっと見えるようにしたい
〈 診断名 〉 過蓋咬合
〈 装置 〉 Myobrace®︎ Medium stage1、stage2
〈 抜歯部位 〉 非抜歯
〈 治療期間 〉 1年で改善、その後経過観察(2年間)
〈 治療費 〉 280,000円 (税別・精密検査代別)※
〈 治療のリスク 〉 第2大臼歯の舌側傾斜、治療後の後戻り
✴︎前勤務先クリニック 医療法人 星樹会 はち歯科医院での症例
※当院では現在、440,000-660,000円でティーンズの矯正治療を行なっています。
──────────────────────────────────────────────────
恵比寿・代官山エリアで歯医者をお探しなら、医療法人社団 新心会の恵比寿 I’s 歯科・矯正歯科へ
一般歯科、歯科口腔外科、矯正歯科、小児歯科、マウスピース矯正、ホワイトニング、インプラント、セラミック審美治療など何でも承ります。
医療法人社団 新心会
恵比寿 I’s 歯科・矯正歯科
〒150-0021
東京都渋谷区恵比寿西1-10-10若葉西ビル3階
TEL:03-6277-5056
URL:http://www.ebisudc.com/
──────────────────────────────────────────────────




